症例紹介
CASE
各診療科目の症例
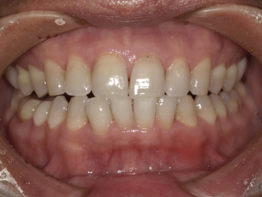
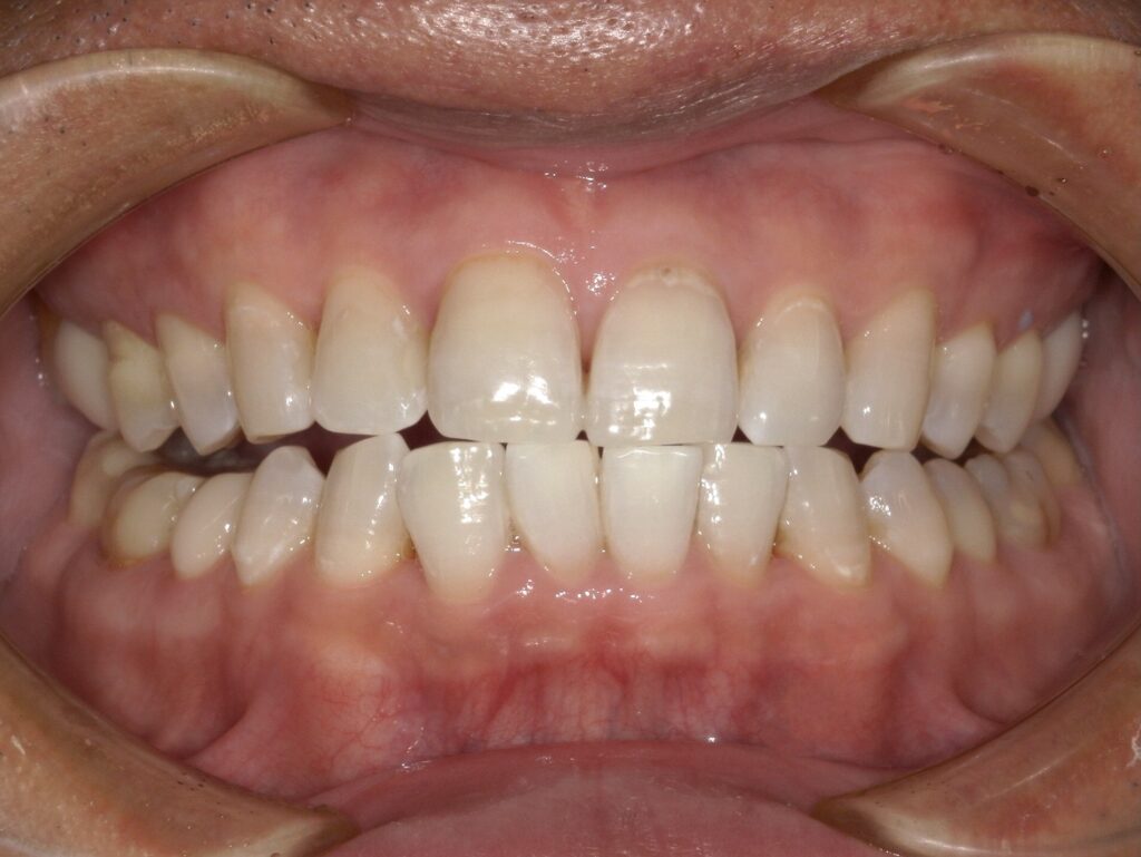
【B様】
Before

After

年齢 | 40代後半 |
性別 | 男性 |
主訴 | 黄ばみが気になるため白くしたい |
施術内容 | オフィスホワイトニング3回 |
治療期間 | 2週間 |
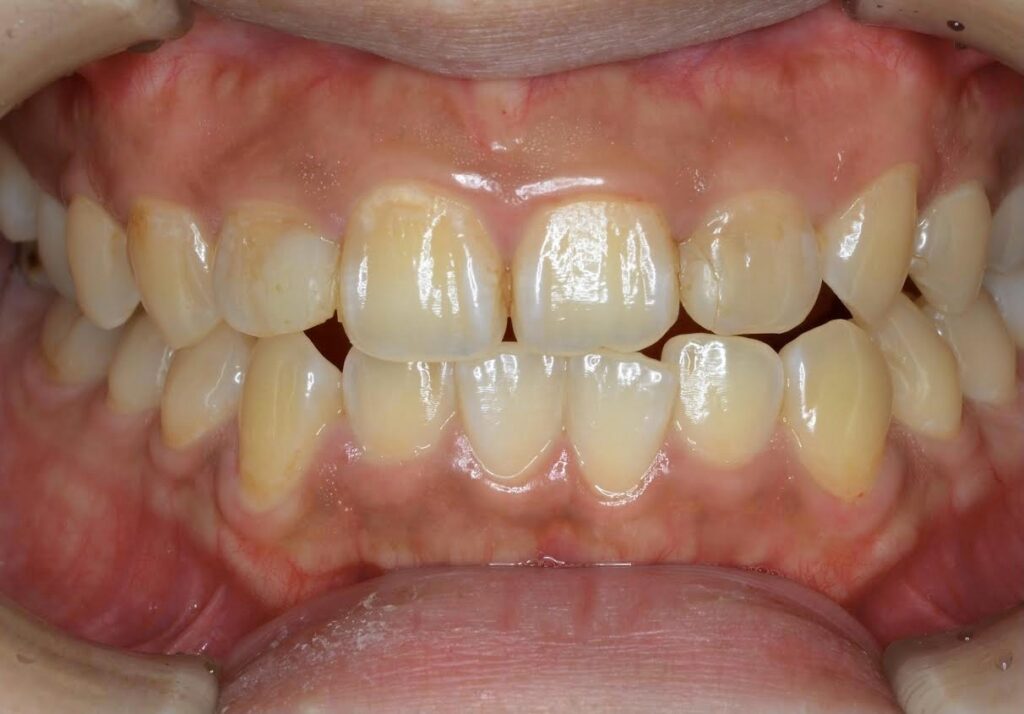
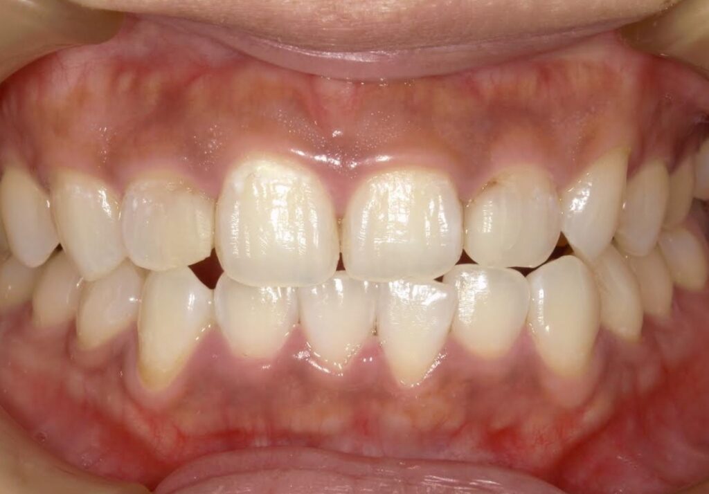
【A様】
Before

After

年齢 | 30代前半 |
性別 | 女性 |
主訴 | 歯を白くしたい |
施術内容 | オフィスホワイトニング3回、ホームホワイトニング |
治療期間 | 半年に一度ほど定期的なオフィスホワイトニングとご自宅でのホームホワイトニングで白さを維持されています。 |
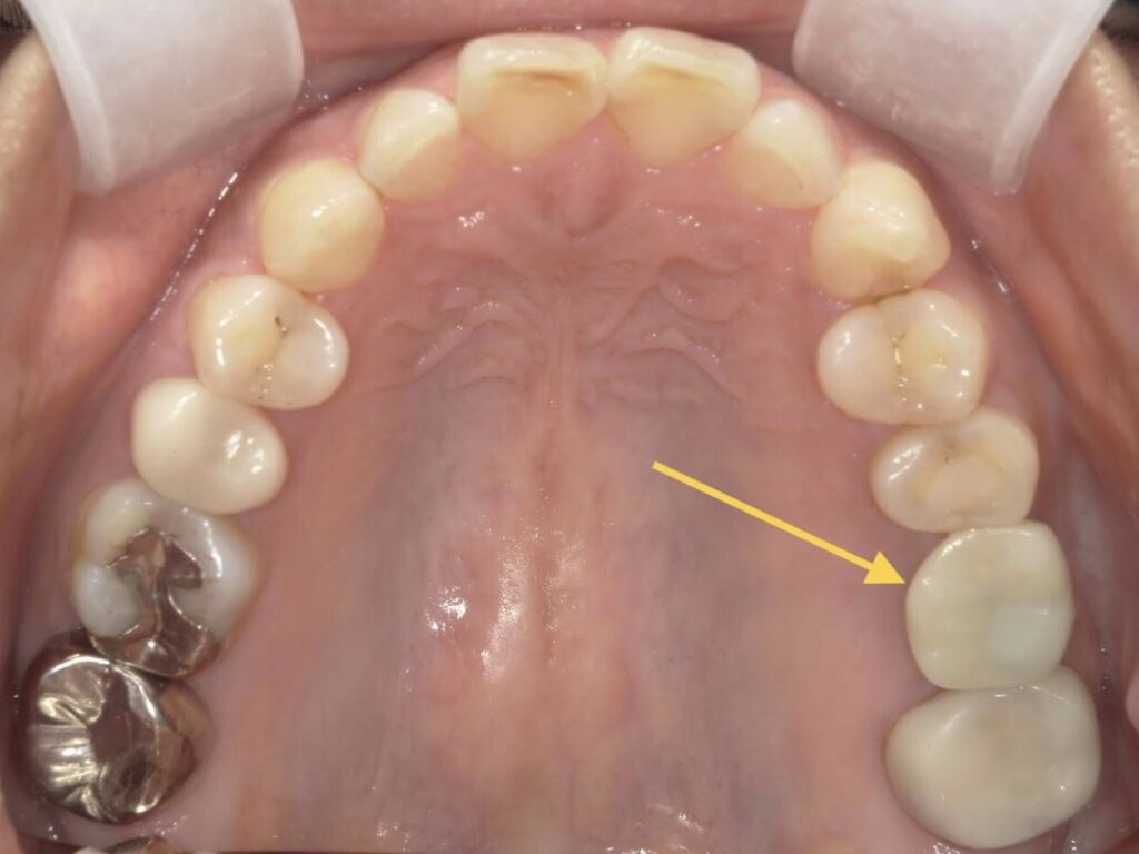
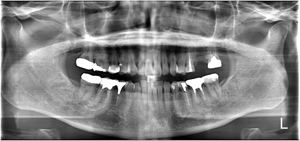
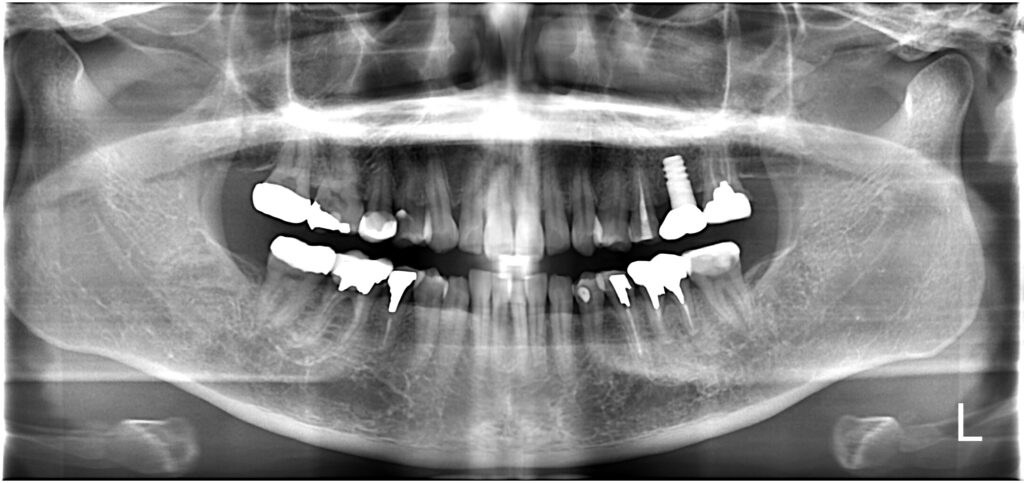
【A様】

咬合面

側方面観(閉口)

側方面観(開口)

パノラマ①

パノラマ②

パノラマ③
年齢 | 30代後半 |
性別 | 女性 |
主訴 | 歯を抜いた後、周りの歯を削ることなく噛めるようにしたい |
施術内容 | 右上第一大臼歯欠損部にインプラントを埋入し、ジルコニアクラウンを被せてあります |
治療期間 | 約1年(抜歯からジルコニアクラウン装着まで) |
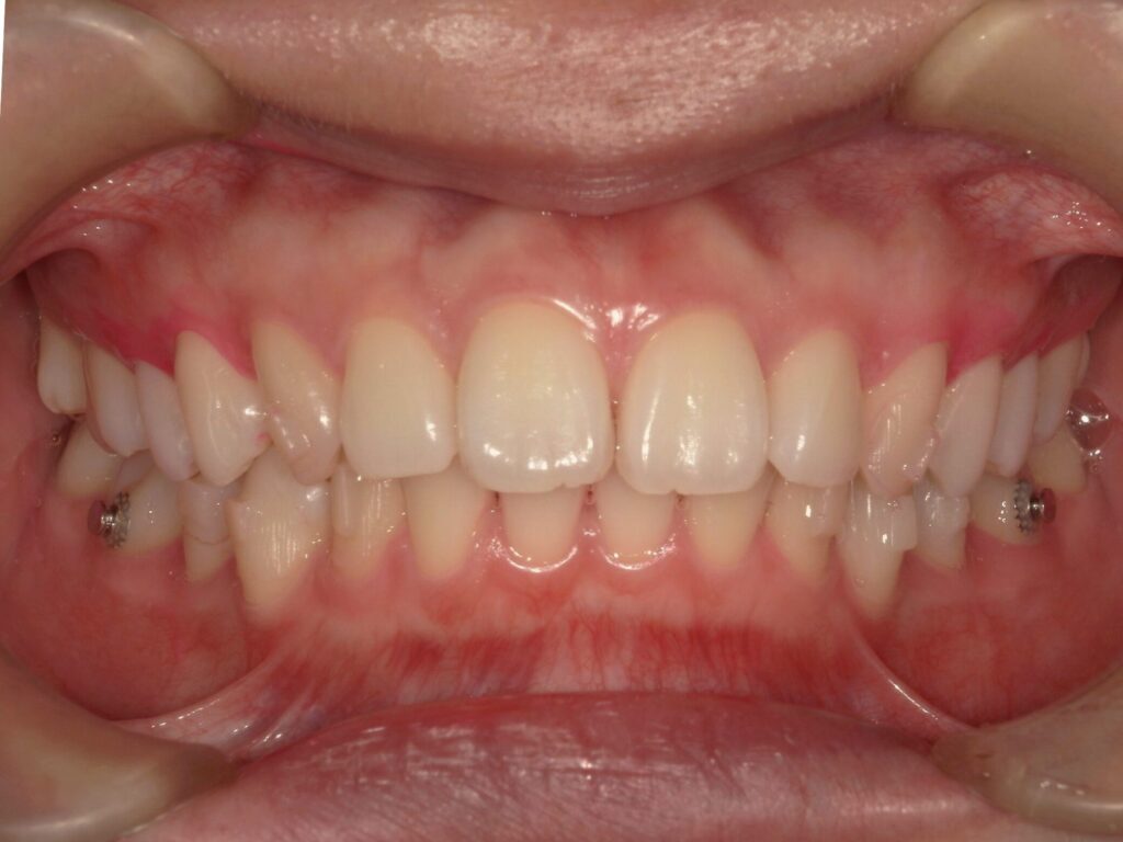
【A様】
Before

After

年齢 | 20代前半 |
性別 | 女性 |
主訴 | 上下の前歯が前に出ている。かみ合わせが悪く、食いしばりをしていて、頬の粘膜に傷ができやすい。 |
施術内容 | アライナー(マウスピース)矯正 |
治療期間 | 10ヶ月 |
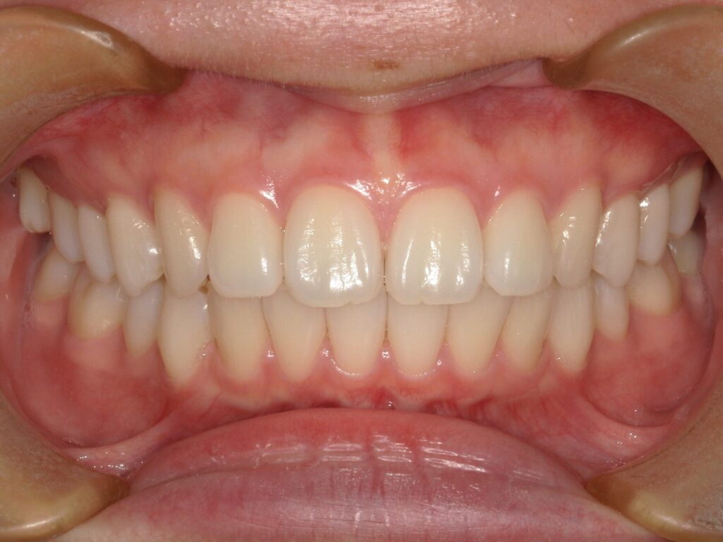
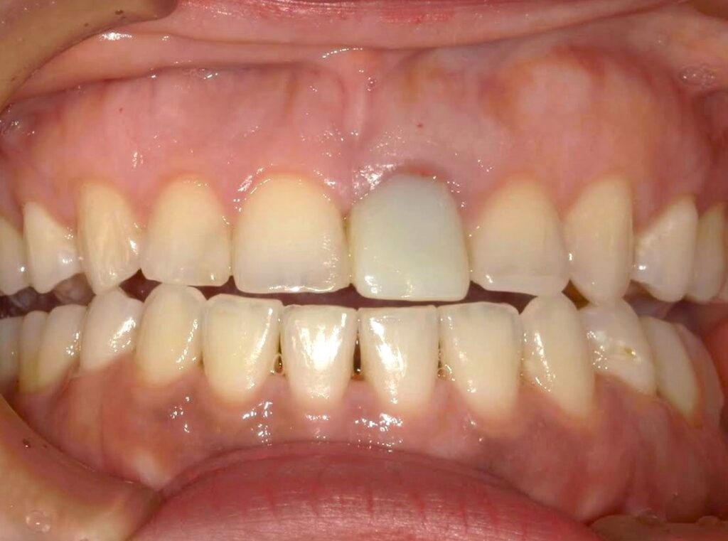
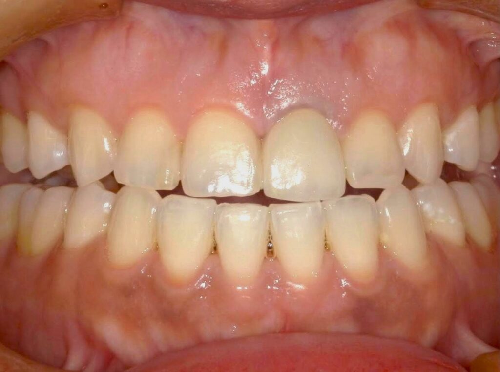
【A様】
Before

After

年齢 | 30代前半 |
性別 | 女性 |
主訴 | 前歯の被せ物の色味が合っていないのでやり直したい |
施術内容 | 色があっていない保険適応のCAD/CAM冠を外して、自費補綴のジルコニアに被せなおしています。 |
価格表 (税込み表示)
医療ホワイトニング | ||
オフィスホワイトニング1回 | 36,300円 | |
ホームホワイトニング2週間分 | 36,300円(追加ジェル1本:3,300円) | |
インプラント | ||
インプラント1本 | 385,000円(自費補綴を含む) | |
矯正 | ||
マウスピース矯正 | 770,000円(通院毎の費用も含む)※詳細については来院時にご説明させていただきます。 | |
検査費 | 55,000円 | |
自費補綴 | ||
自費補綴(ジルコニア) | 1本110,000円(2年保証) |